Das EndoCert-Zertifizierungssystem kontrolliert seit 2012 die Qualität von Operateur und Einrichtungen, in denen Gelenkendoprothesen implantiert werden. Durch Vorgaben für die Struktur-, Prozess- und Ergebnisqualität sowie die regelmäßige Überprüfung (Audits) durch erfahrene, speziell ausgebildete Fachexperten wird die hochwertige Versorgung der Patienten sichergestellt. Einrichtungen, die einen wesentlichen Schwerpunkt ihrer Arbeit auf dem Gebiet der Endoprothetik sehen, können sich als Endoprothetikzentrum (EPZ) zertifizieren lassen.
Seit 2015 ist Dr. Dirk Hedrich zertifizierter Hauptoperateur der Klinik im Naturpark Altmühltal in Kösching. Zuletzt erfolgte im Juli 2017 eine Re - Zertifizierung ohne Beanstandungen.
Bei schwere Zerstörung der Fingergelenke kann es notwendig sein, das Gelenk zu ersetzen. Mitunter ist ein Ersatz mehrerer Gelenke notwendig. Vereinzelt ist die Operation auch ambulant möglich. Das Bild zeigt die momentan eingesetzte Silastikprothese Neuflex der Firma de Puy.
An der Schulter stehen sehr unterschiedliche Implantate zur Verfügung. Man muss abwägen, ob die Muskelfunktion noch intakt ist oder nicht. Entsprechend kommen sehr unterschiedliche Prothesentypen zum Einsatz. Unter Umständen sind aufwendige Voruntersuchungen wie Computertomographie oder Kernspintomographie notwendig, um für Sie die optimale Prothese auszuwählen.
An der Hüfte setzen wir auf langjährig bewährte Implantate, die nachweislich über Jahrzehnte gute Ergebnisse liefern. Wir versuchen, wenn möglich, größere Standardkugeln einzusetzen um eine möglichst gute Beweglichkeit zu erreichen. Leider hatten bisherige "moderne" neue Hüftgelenke immer wieder Probleme, sodaß diese relativ schnell vom Markt wieder verschwanden ( z. B. Roboterhüfte, Computer designed Prothese, Oberflächenersatz).
Jede Hüftprothese wird zuvor, wie in einem Ingenieurbüro am Computer geplant (siehe Bild im Link Praxis) und ausgemessen, um diese Werte möglichst in der Operation umzusetzten. Ziel ist es, ihr eigenes Gelenk so zu ersetzen, daß ihr Muskelzug und Kraftübertragung erhalten bleibt und die Prothese optimal eingepaßt wird.
Die SUPERPATH Hüfte : In günstigen Fällen wird das künstliche Gelenk in einem minimalen Verfahren von oben hinten eingebaut. Die Vorteile: keine Muskelabtrennung, Erhaltung der Hüftkapsel, die Hüfte muss nicht während der Operation ausgekugelt werden. Dadurch kann frühzeitig auf Krücken verzichtet werden, der Blutverlust ist sehr gering, Thrombose und Gefahr der Ausrenkung sehr gering im Vergleich zu anderen Methoden.
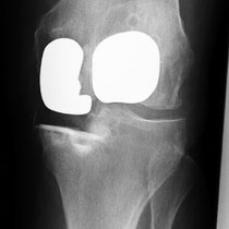
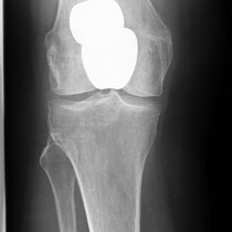
Auch bei dem künstlichen Ersatz des Kniegelenkes muss genau abgewogen werden, was eingentlich ersetzt werden muss. Je weniger ersetzt wird umso besser im Gesamtergebnis. Warum soll man das ganze Knie ersetzen, wenn nur der Knorpel unter der Kniescheibe zerstört ist (Bild 3 Kniescheiben - und Gleitlagerersatz). Anders bei schwerer Rheumazerstörung, bei der alle Bänder ausgelockert sind - hier wäre die normale Knieprothese auch locker (Bild 5 Lösung: achsgekoppelte Prothese). Ich versuche für meine Patienten das bestmögliche Implantat auszusuchen. Für Allergiker stehen spezielle titanbeschichtete Kniegelenke zur Verfügung.
Persönlich angepasste Knieprothese - die neue Zukunft?
Wir sind zur Zeit in der Lage, ihre eigene Anatomie nahezu exakt wiederherzustellen durch persönlich angepasste Prothesen. Bisher erkennbarer Vorteil liegt bei geringen Knochenverlusten und sehr guter Beweglichkeit. Zu hoffen wären auch gute Langfristergebnisse - diese stehen bei diesem jungen Verfahren noch aus. Wir beraten Sie gerne ob dieses Verfahren für Sie in Frage kommt.